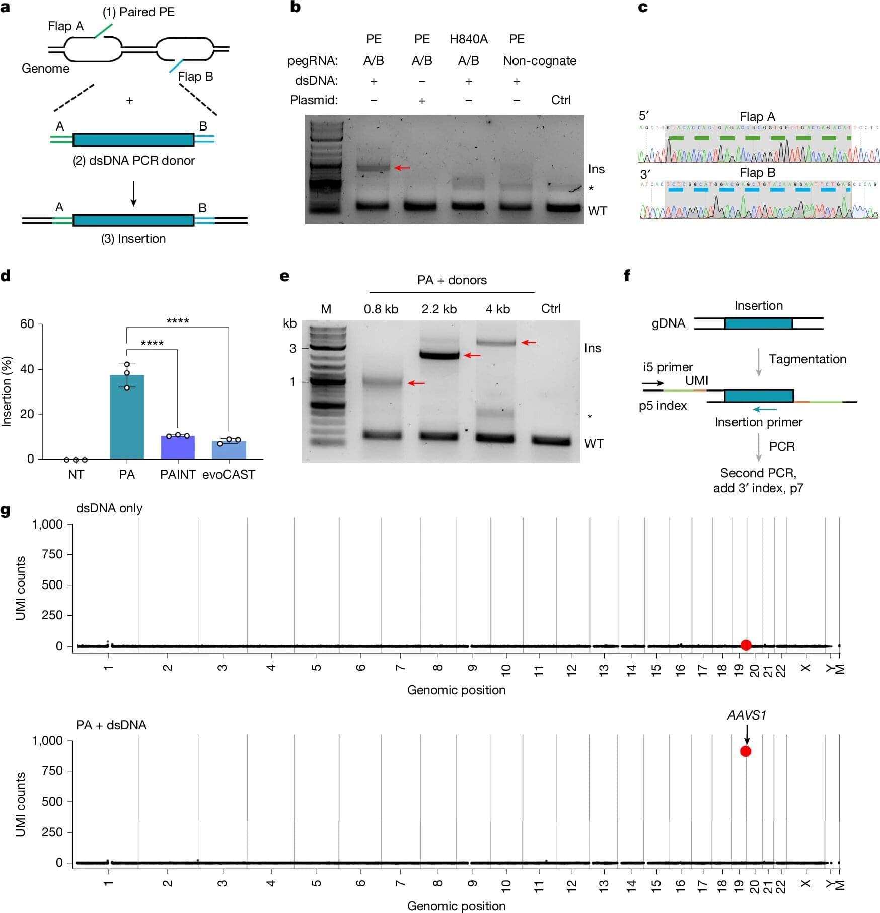
New technology enables the insertion of a large segment of DNA into a genome, potentially expanding gene therapy treatment from cancellation of disease-causing mutations to replacement of an entire gene, scientists say.
Reporting in Nature, the researchers describe building upon a technique called prime editing by inserting DNA that attaches to the genome through a series of overlapping flaps. This method, which they call a prime assembly approach, avoids a bottleneck in the gene therapy field—a double-strand break to the donor DNA that can cause toxicity and kill cells.
“Using this method, we are doing genome assembly rather than making a small edit in a gene,” said Bin Liu, a co-lead author of the study and assistant professor of biological chemistry and pharmacology at The Ohio State University College of Medicine. “If we think of the genome as a book, we can remove one paragraph and replace it with a new one—or even rewrite a chapter.”









